
In the world of modern orthodontics, Invisalign has revolutionized the way people achieve straighter, more beautiful smiles. Gone are the days of bulky metal braces; instead, a virtually invisible solution is now available.

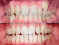
Invisalign is a modern orthodontic treatment that utilizes clear, custom-made aligners to gradually shift teeth into their desired positions. Unlike traditional metal braces, these aligners are visually invisible, comfortable to wear, and removable for eating and oral hygiene. This innovative approach to orthodontics has attracted millions of individuals seeking a more convenient and discreet way to achieve a straighter, radiant smile.
Invisalign is an orthodontic treatment that effectively addresses a variety of teeth alignment and bite concerns. Here are some common teeth concerns that the aligners can help fix:

Invisalign can gradually move overcrowded teeth into proper alignment, creating space and improving overall dental health.

Whether you have gaps or spaces between your teeth, the aligners can close these gaps to create a more uniform and aesthetically pleasing smile.

In cases of overbites, where the upper teeth overlap the lower teeth, the aligners can help reposition the upper teeth and jaw to achieve a proper bite alignment.

For individuals with underbites, where the lower teeth protrude in front of the upper teeth, the aligners can help correct the bite by gradually moving the lower teeth into their correct positions.

Crossbites occur when some upper teeth sit inside the lower teeth when biting. Invisalign can adjust the alignment of the teeth to correct this issue.

In cases of open bites, where there is a gap between the upper and lower teeth when the mouth is closed, the aligners can work to close this gap and achieve proper alignment.

The aligners are effective for various forms of misalignment, including crooked or rotated teeth, to create a straighter and more harmonious smile.

Invisalign can also be used for individuals who have had previous orthodontic treatment and have experienced relapse, where the teeth shift back to their original positions over time.

Invisalign can also address cosmetic concerns related to teeth alignment, helping individuals achieve a more attractive and confident smile.


This section addresses common inquiries about Invisalign treatment, including the duration of treatment, cost considerations, and how the aligners work to achieve stunning smiles.
Invisalign has transformed countless smiles, boosted confidence, and enhanced lives. If you've ever dreamt of a straighter, more radiant smile, this can make that dream a reality. Your journey to a stunning smile starts here, and the results can be as transformative as they are beautiful. Don't wait any longer— visit our clinic and unlock your smile's true potential with Invisalign today.